Unieke facings met 3D design

image

FirstFit

Unieke facings met 3D design

FirstFit® biedt je met speciale 3D software & printing de mooiste porseleinen facings in slechts één afspraak. Volledig pijnloos en op basis van een 3D simulatie vooraf. Deze unieke FirstFit facings worden met OneStep® Guides in één beweging geplaatst. Maak snel een afspraak voor de vrijblijvende intake.

Gratis afspraak
Pause Play

Bekijk deze perfect smiles

  • Voorbereiding & plaatsing in maar één afspraak
  • Veel efficiënter en nauwkeuriger
  • 3D simulatie vooraf
  • Volledig 3D software & print gestuurd systeem

Design

Smile Design

Het design voor jouw nieuwe perfect smile wordt gemaakt op basis van gezichtskenmerken en de voorkeuren die je aangeeft. Het speciale algoritme kijkt mee om natuurlijke vormen, texturen, materiaal, dikte en translucentie te bepalen voor de keramische facings.

Video preview image

Design

3D Simulatie

De innovatieve technologie van de FirstFit 3D simulatie is een unieke visualisatie hulp, waarmee wij jouw nieuwe smile nauwkeurig kunnen laten zien al voordat je met de behandeling start.

Video preview image

Design

Preparaties

De FirstFit software helpt ons klinische team bij het ontwerpen van de meest ideale en minimaal invasieve tandpreparaties. Die zijn nodig, om het vooraf goedgekeurde smile design exact te realiseren.

Video preview image

Design

SmartPrep Guides

SmartPrep® guides zijn ontworpen om te garanderen dat de digitale voorbereiding precies zo kan worden uitgevoerd in de mond. Het gepatenteerde en innovatieve ontwerp verkleint de foutmarge drastisch tot minder dan de dikte van een vel papier.

Voorbereiding

3D geprint

Gepatenteerde SmartPrep Guides worden geproduceerd met behulp van de nieuwste 3D technologie en biocompatibele materialen. Wij houden ons aan de strengst mogelijke protocollen voor kwaliteitscontrole, om zo maximale nauwkeurigheid te garanderen.

Voorbereiding

Tandpreparaties

De FirstFit SmartPrep Guides worden over de tanden geplaatst en het FirstFit handstuk past exact in dit sjabloon. De beweging van het handstuk wordt gestuurd door het spoorvormige ontwerp van dit sjabloon. Zodat alleen de vooraf ontworpen minimaal invasieve tandpreparatie wordt bereikt.

Video preview image

Voorbereiding

Minimaal invasieve facings

De minimaal invasieve preparatie blijft op het tandglazuur. De FirstFit sjablonen zijn precies zo gevormd om aan te sluiten bij de uiteindelijke facings en het vooraf goedgekeurde 3D design. Zo worden betrouwbare, duurzame en esthetisch optimale resultaten bereikt.

Plaatsing

OneStep Guides

De FirstFit OneStep® Cementatie Guide is voorzien van individuele keramische veneers. Perfect gepositioneerd, om uiterst precies over de tanden te plaatsen. Zo worden alle facings in één beweging geplaatst.

Plaatsing

Plaats in één beweging

Met OneStep Guide kunnen tot 10 keramische veneers in één beweging moeiteloos en uiterst precies worden geplaatst. Hierdoor is het veel efficiënter en accurater dan bij traditionele facings en technieken.

Plaatsing

Efficiënt & nauwkeurig

Verwijder de OneStep Guide eenvoudig, nadat de facings op de tanden zijn geplaatst. FirstFit OneStep Guide garandeert de perfecte plaatsing van facings en verkort de behandeltijd significant.

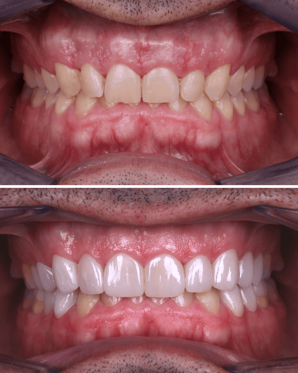
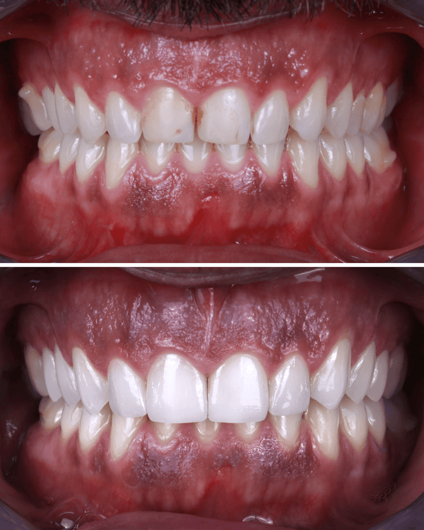
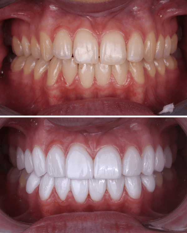
Before & After

Video preview image
Video preview image
Video preview image
Video preview image
Video preview image
Video preview image
Video preview image
Video preview image
Video preview image
Video preview image
Video preview image
Video preview image
Video preview image

Wat is jouw perfecte smile?

De mooiste porseleinen facings op basis van een unieke 3D geprinte methode. Je kunt -na acceptatie- in termijnen betalen. Bij de gratis intake krijg je advies. Je beslist dan of de 3D scan wordt gemaakt. Deze kost €99 incl. het maken van jouw 3D design.

Per tand

€17 Maandelijks *
€499 Eenmalig

Boven of Onder 8

€135 Maandelijks *
€3900 Eenmalig

Boven 8 + Onder 8

€267 Maandelijks *
€7700 Eenmalig
Gratis intake

* Het bedrag per maand is op basis van betalen in 36 maand termijnen met 15% rente via Spraypay. Hiervoor is een online acceptatie nodig. Bij het bestellen van jouw pakket doe je de aanvraag hiervoor. Het gaat om 8 facings voor boven en/of onder.

Vraag & Antwoord

Facings zijn ultra dunne keramische schildjes over de voorzijde van jouw tanden. Je kunt er de vorm, kleur en stand van jouw tanden mee corrigeren. Of een echte Hollywood smile creëren.

Van welk materiaal zijn de facings gemaakt?

Er wordt uitsluitend gebruik gemaakt van de beste keramische materialen. Daarmee krijgen jouw tanden een mooie glanzende en natuurlijke uitstraling.

Is het echt maar 1 afspraak voor de plaatsing?

Jazeker meestal wel. Het kan natuurlijk wel voorkomen bij complexe situaties, dat toch nog extra afspraken nodig zijn.

Kan ik in termijnen betalen?

Je kunt via betaalprovider Spraypay in termijnen betalen. Daarvoor is wel een akkoord nodig na een online check. Er is wel ook een rente van toepassing.

Bekijk ook FirstFit.com

Vraag & Antwoord

Facings zijn ultra dunne keramische schildjes over de voorzijde van jouw tanden. Je kunt er de vorm, kleur en stand van jouw tanden mee corrigeren. Of een echte Hollywood smile creëren.

Bekijk ook FirstFit.com
Van welk materiaal zijn de facings gemaakt?

Er wordt uitsluitend gebruik gemaakt van de beste keramische materialen. Daarmee krijgen jouw tanden een mooie glanzende en natuurlijke uitstraling.

Is het echt maar 1 afspraak voor de plaatsing?

Jazeker meestal wel. Het kan natuurlijk wel voorkomen bij complexe situaties, dat toch nog extra afspraken nodig zijn.

Kan ik in termijnen betalen?

Je kunt via betaalprovider Spraypay in termijnen betalen. Daarvoor is wel een akkoord nodig na een online check. Er is wel ook een rente van toepassing.